Orthodontics in Bondi Junction
You are never too old for a straight smile.
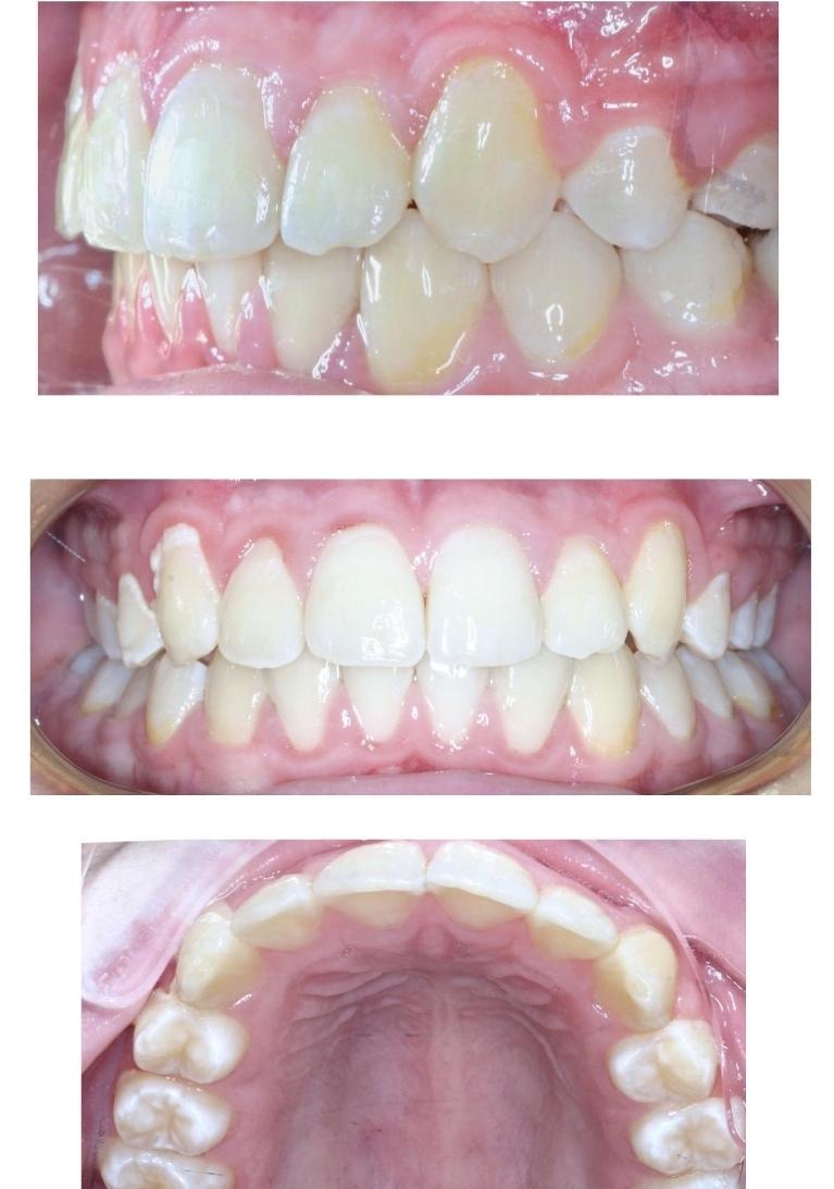
We often recommend orthodontics as part of a cosmetic treatment plan to improve overall results. Straight teeth are not only easier to keep clean but also respond better to restorative dentistry.
Dr Brendan Quill has a special interest in orthodontics to improve oral health and address conditions such as malocclusion (bite disorders) and TMJ (jaw disorders).
Many of our adult patients wish to improve the appearance or comfort of their smiles with straighter teeth, but wearing brackets and wires does not appeal to them. If you are seeking an alternative to traditional orthodontics, Invisalign clear braces may appeal to you.
What is Invisalign?
Invisalign uses a series of clear aligners to gradually move teeth into proper alignment. These aligners make it possible to seek discreet treatment without the additional care that brackets and wires require.
Contacting our clinic to arrange an orthodontic consultation with Dr Brendan Quill will provide him with the information he needs to make accurate recommendations based on your goals for your smile.
Clear aligners are removable and easy to use:
- Wear for about 22 hours each day
- Remove aligners to eat and clean teeth
- Use each set for approximately two weeks
- Maintain regular exams to monitor progress
- Smooth and comfortable
Damon System 3
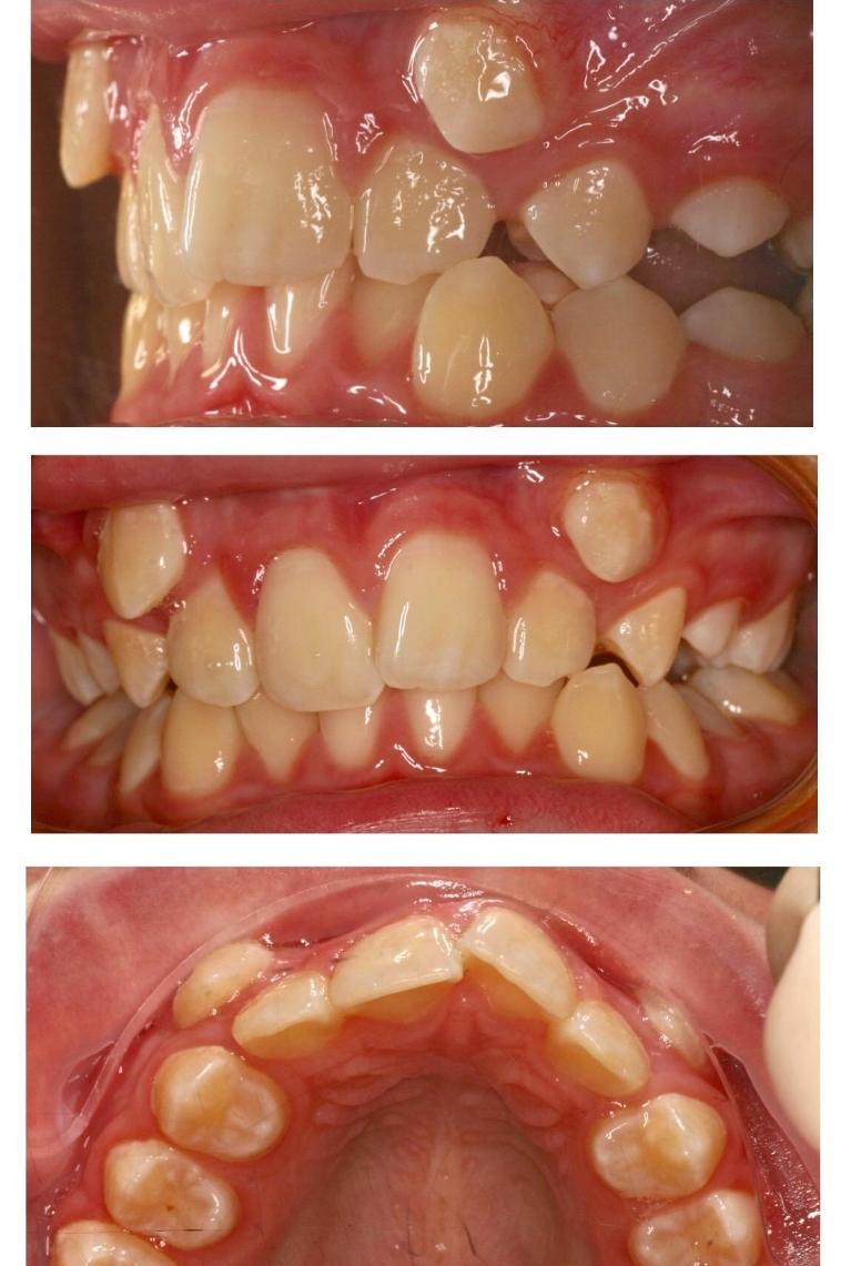
For patients who have overcrowding or other developmental orthodontic conditions, Damon 3 provides solutions with more natural results and without the need for extractions.
Until recently, moving teeth with brackets and wires meant heavy forces to move teeth quickly. Damon 3, however, reduces the force required to move teeth and utilises the body’s natural healing process to correct overcrowding by addressing the shape of the arch.
How Damon 3 works
Using brackets that allow the Damon 3 memory wire to move freely is a more comfortable and effective alternative to traditional braces.
Damon 3 accounts for the final appearance of both the teeth and facial structure. When orthodontic conditions are addressed properly, it can have a dramatic impact on the facial features.
A natural profile provides patients with confidence. Eliminating the need to extract healthy teeth to correct overcrowding minimises the sunken appearance caused by bone loss.
Orthodontic retainers
Anytime you have orthodontic treatment, whether traditional, Invisalign, or Damon 3, wearing an orthodontic retainer will hold your new smile in place. At first, you will need to wear a retainer for most of the day. After your teeth stabilise in the bone, you will only need to wear a retainer at night.
We offer several types of retainers, based on your preference and what will best support your new smile. We can discuss retainer use with you when you visit Dentist in the Park for your orthodontic consultation.
Would you like a straight, healthy smile?
Contact our Bondi Junction dental clinic to learn more about modern orthodontic options.





When teeth are misaligned, especially if they overlap or are too close together, teeth can be difficult to keep clean and create complications when placing crowns or other restorations. It is for this reason that we often recommend orthodontics prior to beginning 
